En 1994, el expresidente de Estados Unidos Ronald Reagan escribió: “Hace poco que me han dicho que soy uno de los millones de estadounidenses a quienes atacará la enfermedad de Alzhéimer [...]. Comienzo el viaje que me llevará al ocaso de mi vida”. Al año siguiente, le aplaudieron al entrar en un restaurante al que acudió con su mujer, pero él ni siquiera recordaba ya que diez años antes había sido el inquilino de la Casa Blanca. Un cuarto de siglo después de este hecho anecdótico, ¿qué ha cambiado en el diagnóstico y el tratamiento de los trastornos neurodegenerativos, y especialmente en el principal de ellos, el alzhéimer, que representa el 70 % de las demencias?

En los últimos veinticinco años, ha habido avances muy importantes en medicina: se ha conseguido hacer trasplantes de cara, desarrollar vacunas y otros medicamentos contra enfermedades incurables, mejorar las técnicas quirúrgicas empleando robots o prolongar hasta diez años la esperanza de vida de un enfermo oncológico con metástasis, gracias a la inmunoterapia. Sin embargo, la investigación parece estancada en las dolencias relacionadas con el deterioro cognitivo, que afectan a 65 millones de personas en el mundo, casi un millón en España.
Según David Pérez, jefe de Neurología del Hospital Universitario 12 de Octubre de Madrid, “se desconoce en gran medida su origen y fisiopatología. En el alzhéimer, se ha trabajado durante las últimas décadas en la eliminación del ß-amiloide, un péptido [molécula formada por la unión de varios aminoácidos] que se acumula en los cerebros con dicha enfermedad. Pero las distintas terapias, en especial, las inmunológicas, no han logrado un beneficio claro”.
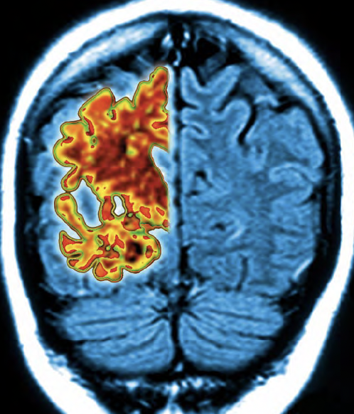
La detección de placas de ß-amiloide en el cerebro llegó a plantearse como método de cribado. Si una persona presentaba estos depósitos, que se podían visualizar mediante una tomografía por emisión de positrones (PET), cabía deducir que dentro de diez o quince años desarrollaría la enfermedad. Sin embargo, la teoría se vino abajo como un castillo de naipes.
Como explica Antonio Maldonado, jefe de Medicina Nuclear del Hospital Quirónsalud de Madrid, “se vio que había muchos pacientes que no presentaban depósitos y sí tenían alzhéimer, y a la inversa: otros presentaban placas, pero no la dolencia. Se comprobó que esos sedimentos aparecían también en boxeadores, veteranos de guerra o personas con síndrome de Down que no desarrollaron el trastorno”.
Los grandes de la industria farmacéutica, como Bayer, Novartis, Pfizer y Roche, han virado sus investigaciones en los últimos años hacia otro compuesto que también se acumula en el cerebro en forma de ovillos, la proteína tau, cuyos niveles en las neuronas se encuentran detrás de la aparición del alzhéimer. “La cantidad de placas de ß-amiloide no guardaba relación con la gravedad de la enfermedad, mientras que esta asociación sí ocurre con la proteína tau: la progresión del mal es mayor cuanta mayor es la acumulación de esta sustancia”, apunta el doctor Maldonado.
A partir de esta evidencia, la innovación farmacéutica se enfoca en desarrollar compuestos que, a través de pruebas de imagen, detecten estos sedimentos neurológicos y, a su vez, diseñar tratamientos que impidan su acumulación. Y es que el alzhéimer comienza a gestarse décadas antes de que aparezcan los primeros síntomas, de ahí la importancia de una detección precoz. En muchos hospitales, ya se emplean pruebas de imagen para descubrir los depósitos de cuerpos tau. Confirmada su presencia, se puede predecir con diez o quince años de antelación si una persona va a sufrir la enfermedad, una anticipación capital para retrasar su evolución.
Parece que al fin se ha encontrado la puerta de entrada a este trastorno en la proteína tau, o en la proporción entre sus distintas variables –isoformas– en las neuronas. Es la principal sospechosa de originar esta dolencia neurodegenerativa, así como otras, caso del párkinson y la demencia fronto-temporal, ya que juega un papel clave en la transmisión de los impulsos nerviosos. Las proteínas se sintetizan en el cuerpo de la neurona y después son trasladadas al axón, la prolongación por la que el impulso nervioso llega hasta otra neurona.

- GETTYI
Ese proceso se realiza a través de unos microtúbulos a los que se cree que queda adherida la proteína tau para facilitar la transmisión. Una de las teorías que se barajan es que el alzhéimer se origina cuando en el cerebro se rompe el equilibrio entre dos tipos de proteínas tau, la 3R, llamada así porque tiene tres puntos de anclaje con los microtúbulos; y la 4R, con cuatro puntos de anclaje.
Desde otro punto de vista, expertos en microbiota, como Esteban Orenes, responsable de la Unidad de Proteómica del Hospital Clínico Universitario Virgen de la Arrixaca (Murcia), sostienen que la flora intestinal arrojará mucha luz sobre esta clase de enfermedades. “El crecimiento de bacterias perjudiciales guarda relación con el aumento de la permeabilidad de la barrera hematoencefálica, un sistema de seguridad que tiene el cerebro para protegerse de los agentes externos. Traspasado ese muro, pueden penetrar en el cerebro toxinas o ácidos grasos que favorezcan los depósitos de proteínas tau”, dice el doctor Orenes. Así, una de las estrategias que se investiga es el uso de probióticos, microorganismos que tomados en altas concentraciones han demostrado su eficacia en la prevención y el tratamiento de problemas como la diarrea y el estreñimiento, al restablecer el equilibrio bacteriano en el intestino.
El objetivo es reducir la población de microorganismos que sintetizan ácidos grasos con un potencial daño neurológico. ¿Cómo es posible que tengan efecto en un lugar tan remoto del intestino? La razón es que estas moléculas viajan por todo el cuerpo e intervienen en todos los sistemas del organismo. De ahí, la importancia también de la alimentación en la prevención de los trastornos neurológicos —los ácidos grasos saludables se producen en la síntesis, por ejemplo, de alimentos con fibra—. Mientras, de las hemerotecas podrían recuperarse docenas de titulares que en las últimas décadas anunciaban curas para dolencias neurodegenerativas que luego han resultado fallidas.

Sin embargo, tan equivocado como levantar falsas expectativas es transmitir un panorama teñido de negro. Las dos más frecuentes, el alzhéimer y el párkinson, se pueden prevenir, en parte, con hábitos de vida saludables, algo que muchas personas desconocen. La Fundación Pasqual Maragall (Barcelona) lanzó la campaña Cuando te cuidas, el alzhéimer da un paso atrás, que se basa en un metaanálisis publicado en Lancet Neurology. Según aquel, uno de cada tres casos de este tipo de demencia podría evitarse. La revista sostiene que cualquier estrategia preventiva de salud pública debe basarse en cinco pilares, todos ellos relacionados, dicho sea de paso, con otros muchos problemas de salud.
Para empezar, se trata de evitar los factores de riesgo cardiovascular —diabetes, hipertensión, colesterol, tabaquismo, sobrepeso—; practicar ejercicio físico regularmente; y seguir una dieta sana y variada. Esta debe incorpore alimentos ricos en fibra —frutas, verduras—, pescado azul y agua en abundancia, y limitar o prescindir del azúcar, la sal y las grasas saturadas. Las otras dos recomendaciones son cuidar el sueño y mantenerse activo intelectualmente. Eso sí, la evidencia científica sobre la capacidad neuroprotectora de la actividad intelectual es solo indirecta. “Sabemos que aquellos que tienen un nivel educativo más alto presentan más resistencia a desarrollar un deterioro, es lo que se conoce como reserva cognitiva”, explica el doctor Pérez.
En el caso de que ya exista un daño cerebral, el objetivo es ralentizarlo manteniendo activa la mente. Para lograrlo, tan útil es cuidar las relaciones sociales, como leer, aprender un idioma, bailar o cultivar todo aquello que le interese al paciente. Como apunta este neurólogo, “lo ideal es planificar un programa de tareas y actividades ajustadas a cada sujeto por preferencias, motivaciones y, por supuesto, nivel cultural. Favorecer las aficiones previas puede ser una estrategia muy interesante”. En cuanto al último de los factores señalado por Lancet Neurology, sabemos que los trastornos del sueño, entre otros factores de riesgo, podrían contribuir al deterioro cognitivo y también a la progresión de la dolencia, sobre todo, cuando se padecen desde hace mucho tiempo. Esto ocurre porque, por una parte, una fragmentación crónica del sueño puede conducir a la acumulación de las proteínas ß-amiloide y tau en el cerebro. “El sistema glinfático, encargado de eliminar las sustancias de desecho cerebral cuando dormimos, deja de funcionar adecuadamente debido a la discontinuidad del propio sueño y, en vez de expulsar estos desechos al torrente sanguíneo, los acumula en el cerebro”, explica José Luis Cantero, catedrático de Fisiología de la Universidad Pablo de Olavide (Sevilla). Asimismo, el agravamiento de los problemas de sueño puede ser una señal del avance de la enfermedad.

“Cuando el alzhéimer progresa, no solo se produce una mayor fragmentación del sueño, si no que aparecen también alteraciones del ritmo circadiano que impiden que el paciente pueda mantener un ciclo vigilia-sueño normal”, afirma el doctor Cantero, cuyo equipo investiga qué mejoras pueden introducirse en la calidad del descanso para reducir la prevalencia de la enfermedad de Alzheimer. Numerosos estudios han confirmado la relación entre estar menos tiempo de lo normal en brazos de Morfeo —por debajo de cinco horas al día— y esta demencia, pero no hay ninguna cantidad de tiempo que pueda considerarse neuroprotectora, dado que las necesidades de sueño dependen de cada individuo. Hay personas que tienen suficiente con cinco horas al día y otras precisan hasta nueve para funcionar bien. Lo que está claro es que dormir mal o menos de lo que uno necesita pasa factura al organismo. Algunos efectos son inmediatos: sin ir más lejos, la inevitable somnolencia diurna entorpece la concentración en tareas rutinarias como la conducción.
“Es decir, la falta de descanso habitual produce un deterioro cognitivo subclínico imperceptible en la mayoría de los casos, pero real”, explica el doctor Cantero. Si el problema se vuelve crónico, las consecuencias en el organismo podrían ser sistémicas y conducir a problemas cardiovasculares, metabólicos, neurológicos y de otra índole que, por ejemplo, pueden afectar al sistema inmunitario. En la misma línea, por los daños que ocasionan y su frecuencia entre la población general, los síndromes de apnea del sueño, que afectan a entre cinco y siete millones de personas en España, podrían jugar un papel esencial en los trastornos neurodegenerativos. El doctor Cantero apunta que “los problemas respiratorios durante el sueño generan daños vasculares en el cerebro, que aparecen causados por las innumerables paradas respiratorias que se producen, y deterioran progresivamente la función cognitiva. En ocasiones, esto podría desembocar en un caso de alzhéimer”.
En el párkinson, la segunda de las enfermedades neurodegenerativas por prevalencia, es muy frecuente el trastorno de sueño agitado, con gran impacto en la vida del paciente y de su entorno. Los afectados se mueven mucho y escenifican sueños en los que con frecuencia reviven peleas o luchas que les llevan a intentar defenderse físicamente, incluso con patadas y puñetazos. Es uno de los signos, junto a la pérdida de olfato, el estreñmiento o la depresión, que aparecen antes de los síntomas motores característicos de este mal. Resulta capital detectarlos para hacer un diagnóstico precoz, ya que, como en otros trastornos cognitivos, su origen se desconoce y el tratamiento se centra en reducir la velocidad de progresión con fármacos, ejercicio físico, logopedia y otras técnicas de rehabilitación. Aunque la mayoría de los casos corresponde a mayores de 65, un 30 % de los diagnósticos se producen en personas por debajo de esa edad.
Uno de las terapias más extendidas contra el párkinson incluye la levodopa —el precursor metabólico de la dopamina—, que el neurólogo Walther Birkmayer y el bioquímico Oleh Hornykieviczr dieron conocer en 1961. “Los pacientes que no podían incorporarse y los que no podían arrancar a caminar realizaron esas actividades, hasta corrieron y saltaron tras una inyección”, señalaban entonces los investigadores austríacos. La levodopa penetra en el cerebro atravesando la barrera hematoencefálica, y, una vez dentro, algunas neuronas la transforman en dopamina, el neurotransmisor que el cerebro de los enfermos de párkinson segrega en menor cantidad de la necesaria. El fármaco marcó un punto de inflexión en el tratamiento de la enfermedad. La mala noticia es que no la cura, y, con los años, va perdiendo efectividad.
En estos momentos, se investigan una treintena de medicamentos que garanticen a largo plazo el control de los problemas motores de los enfermos —solo en España hay unos 150.000—. Algunos de estos pacientes han encontrado en la cirugía una solución a dos de los síntomas característicos de la enfermedad: el temblor y la rigidez. Consiste en colocar electrodos para realizar estimulación cerebral continua en las áreas cerebrales que regulan el movimiento. "Los electrodos se colocan en el núcleo subtalámico. Se ocupan de hacer pasar una corriente eléctrica modulada de forma individual en cada paciente. Así, se resetea la actividad neuronal aberrante que está ocurriendo cuando le falta dopamina al cerebro, para hacerla más parecida a la normal a través de los impulsos eléctricos”, explica María Cruz Rodríguez, jefa de Neurología de la Clínica Universidad de Navarra, el primer centro que aplicó la técnica en España.

La cirugía tiene un porcentaje de éxito del 80 %, siempre que se escoja bien al paciente: aquel en el que la medicación ha dejado de tener el efecto permanente deseado, pero al que la progresión de la enfermedad no ha afectado a áreas más amplias del cerebro. La segunda condición es que la intervención, por su complejidad, la lleve a cabo un equipo muy experimentado y sea personalizada para cada paciente en función de sus síntomas.
Como señala la doctora Rodríguez, “es muy import ante colocar bien los electrodos en el núcleo subtalámico y, dentro de este, en el lugar preciso. Sabemos que tiene una parte que participa de los circuitos motores cerebrales, mientras que otras áreas, con diferencia de milímetros, participan de otros circuitos asociativos que tienen que ver con la cognición, o límbicos, que guardan relación con las emociones”. De la precisión en la operación dependerá que el paciente no tenga secuelas indeseadas. El éxito, en último lugar, se completa con ajustes muy finos en la medicación “porque, aunque se reduce bastante la dosis, el objetivo es conseguir una sinergia entre ambas terapias”, apunta la doctora Rodríguez.
La cirugía se aplica en personas que presentan síntomas en todo el cuerpo y, por eso, se colocan dos electrodos, uno en cada hemisferio cerebral. En las que manifiestan solo síntomas unilaterales, se aplican ultrasonidos enfocados de alta intensidad —HIFU, por sus siglas en inglés—, un procedimiento no invasivo que concentra calor en las neuronas afectadas por el temblor y tiene un porcentaje de éxito similar al de la intervención quirúrgica.
Hoy en día, los avances en cirugía, los progresos en la lucha contra las enfermedades infecciosas y la mejora de las condiciones higiénicas, entre otros factores, han multiplicado por dos la esperanza de vida en los países más desarrollados. Sin embargo, la calidad de vida no ha evolucionado al mismo ritmo. La impaciencia por encontrar una solución al alzhéimer o al párkinson no es arbitraria. Se basa en datos. La previsión de las organizaciones internacionales que recoge en un informe la Alianza Española de Enfermedades Neurodegenerativas (Neuroalianza), en Madrid, refleja que los casos de demencias vinculadas al envejecimiento se duplicarán cada dos décadas, lo que plantea un reto asistencial con las personas que sufrirán este tipo de trastornos neurodegenerativos.

El coste de atender a un paciente de alzhéimer alcanza de media 29 184 euros al año, según el Instituto Nacional de Estadística (INE), un gasto que recae en un 80 % en las familias. Para hacernos una idea, una silla de ruedas eléctrica para una persona con esclerosis lateral amiotrófica (ELA) cuesta unos 2.800 euros, una grúa para un enfermo de alzhéimer, alrededor de 1000 euros, el mismo precio que tiene una cama articulada. Pero, al margen del coste económico, hay otro personal y emocional que justifican con creces el esfuerzo por ganar la guerra contra los trastornos neurodegenerativos.
* Este artículo fue originalmente publicado en una edición impresa de Muy Interesante