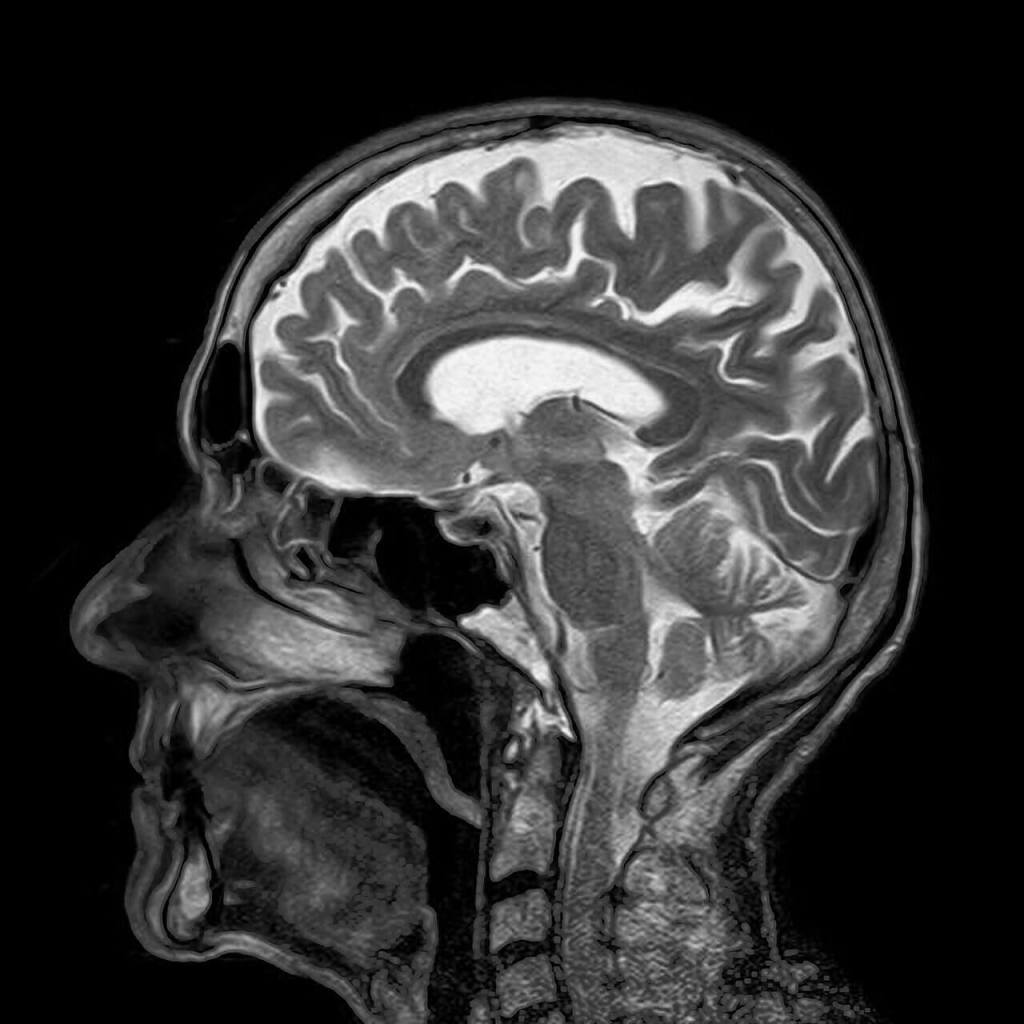
Osnabrück es una hermosa ciudad alemana de Baja Sajonia, famosa por acoger la firma de la Paz de Westfalia que puso fin a la guerra de los 30 años. Visité la ciudad por primera vez en diciembre de 2005, coincidiendo con el tradicional mercado navideño de la ciudad, invitado a participar en un seminario organizado en la Universidad de Osnabrück. La universidad me alojó en el conocido hotel Walhalla, que se enorgullecía de aparecer reflejado en una de las obras del famoso escritor Erich Maria Remarque, natural de Osnabrück y autor de la gran novela pacifista Sin novedad en el frente. Al llegar al hotel coincidí con otro de los participantes en el seminario, el profesor Ian R. Young, un físico británico de gesto muy adusto, profesor de radiología en el Imperial College of Science, Technology and Medicine de Londres. Entonces no lo sabía, pero el profesor Young era todo un pionero de la ciencia, había sido el artífice de la obtención por primera vez en la historia de la imagen por resonancia magnética de un cerebro humano en 1978. Más de cuarenta años después de ese gran logro, la técnica de imagen médica por resonancia magnética se ha convertido en una de las más valiosas herramientas de diagnóstico médico de que disponemos hoy en día, y al igual que sucede con otros muchos avances tecnológicos de los que disfrutamos, sus fundamentos físicos se basan en un fenómeno de naturaleza cuántica.
La imagen médica por resonancia magnética es una técnica enriquecida por múltiples disciplinas. Su desarrollo ha sido impulsado a lo largo del tiempo por distintos avances científicos que han ido siendo reconocidos con la concesión de hasta tres premios Nobel. El primero de ellos fue el premio Nobel de Física otorgado a Felix Bloch y Edward M. Purcell en 1952 por sus investigaciones en torno al fenómeno de la resonancia magnética nuclear (RMN), el fenómeno cuántico cuya comprensión dio origen posteriormente a importantes aplicaciones como son la espectroscopía y la imagen médica por RMN. La espectroscopía por RMN es una valiosa técnica de análisis empleada hoy en día para determinar la estructura molecular y la composición de una muestra química, o para observar de manera no invasiva cambios bioquímicos en el tejido cerebral. Su desarrollo le valió el premio Nobel de Química a Richard R. Ernst en 1991. El último de los tres Nobel mencionados fue el de Medicina o Fisiología concedido en 2003 a Paul C. Lauterbur y Peter Mansfield, por sus contribuciones a la actual técnica de imagen médica por RMN basada en el uso de gradientes de campo magnético para codificar la información espacial en la imagen y por los tratamientos matemáticos para acelerar y hacer factible el proceso de obtención de la imagen. Este último premio Nobel no estuvo exento de polémica, al no haber sido otorgado también a Raymond Damadian, un pionero considerado el inventor del primer escáner médico de RMN.
Momento magnético y momento angular
La RMN es un fenómeno de naturaleza cuántica vinculado a los protones y los neutrones que conforman los núcleos atómicos, aunque cabe señalar que para los electrones existe también el denominado fenómeno de resonancia magnética electrónica. La RMN está relacionada con una magnitud física denominada «momento magnético ». Un átomo o una partícula elemental que posee un momento magnético se comporta como un pequeñísimo imán, con su momento magnético representado por una flecha o vector que apunta en el sentido en el que señala el polo norte de ese imán.
El momento magnético está estrechamente ligado a otra magnitud física denominada «momento angular». Así, los valores del momento magnético y del momento angular de una partícula son proporcionales entre sí a través de una constante que se denomina razón giromagnética. El momento angular es una magnitud física que cuantifica la cantidad de movimiento de rotación de un objeto que gira alrededor de un punto.

En Física, un objeto que se desplaza con una cierta velocidad se dice que posee un momento lineal, el cual cuantifica esa cantidad de movimiento de traslación. El momento angular es la magnitud equivalente para un objeto que en lugar de trasladarse gira. Las partículas elementales poseen un momento angular intrínseco que se denomina espín. Para tratar de comprender su significado se suele establecer una analogía con las propiedades de un objeto macroscópico que gira y que nos resulta muy familiar: una peonza. Podemos decir que el espín de una partícula cuantifica la cantidad de movimiento de rotación que tendría la partícula si girase alrededor de sí misma como una peonza. Cuando arrojamos una peonza al suelo, esta empieza a girar alrededor de su eje, pero suele ocurrir que este eje de giro no es vertical y la peonza cabecea de tal manera que su eje de giro describe una especie de cono en el aire, en un movimiento que se denomina de precesión. El ángulo que forma el eje de la peonza con la vertical, esto es, con la dirección de la fuerza de la gravedad, se denomina ángulo de precesión, y el ritmo con el que la peonza precesiona alrededor de la vertical se denomina frecuencia angular de precesión.
Supongamos ahora que nuestra peonza estuviera imantada, de tal manera que se comportara como un imán cuyos polos norte y sur estuvieran alineados a lo largo del eje de la peonza. Diremos que posee un momento magnético dirigido a lo largo de su eje. Imaginemos ahora que nuestra peonza imantada girase en ausencia de gravedad, y que imponemos un campo magnético a lo largo de la dirección vertical, esto es, en la misma dirección que la fuerza de la gravedad ahora ausente. En ausencia de gravedad, la frecuencia angular de precesión se torna proporcional al valor del campo magnético a través de la ya mencionada razón giromagnética. En estas condiciones, la frecuencia de precesión se denomina frecuencia de Larmor. Casi todo el mundo ha experimentado la fuerza de atracción, o de repulsión, que se establece cuando enfrentamos un imán frente a otro, bien porque enfrentamos polos distintos o porque enfrentamos polos iguales, respectivamente. La existencia de esas fuerzas se debe a la diferente energía de carácter magnético que posee un imán por estar en una posición y orientación dadas en presencia del campo magnético que produce el otro imán. Análogamente, nuestra peonza imantada adquirirá una energía magnética por el hecho de poseer un momento magnético y estar en presencia del campo magnético impuesto. Esta energía magnética dependerá del ángulo que formen el momento magnético de la peonza con la dirección del campo magnético impuesto, esto es, dependerá del ángulo de precesión.
La RMN es un fenómeno de naturaleza cuántica, como ya se ha mencionado. En general, la mecánica cuántica establece que a la escala de las partículas elementales, ciertas magnitudes físicas no pueden tener un valor dado por cualquier número imaginable, sino que solo les está permitido tomar el valor de algunos números, y los números intermedios entre estos están prohibidos. Estos valores numéricos permitidos forman un conjunto que se denomina discreto, frente al conjunto continuo formado por los infinitos valores imaginables. Así, una magnitud física que solo puede tomar ciertos valores discretos se dice que está cuantizada. Volviendo a nuestra peonza clásica, la mayoría hemos experimentado que al jugar con ella y lanzarla repetidas veces al suelo, esta puede precesionar con un ángulo de precesión diferente cada vez, esto es, con su eje más o menos inclinado. Sin embargo, en el caso de una partícula elemental, dotada de un momento angular de espín y de un momento magnético y a la que podemos tratar de ver como una peonza microscópica imantada, el ángulo de precesión que tendría en presencia de un campo magnético impuesto no puede tomar cualquier valor, sino solo algunos valores discretos. Esta es una característica esencialmente cuántica.
En el caso de los protones, neutrones y electrones, estos precesionan con la frecuencia de Larmor con su momento magnético formando un único ángulo con la dirección del campo magnético, aunque bien apuntando en el mismo sentido que el campo magnético o bien en sentido contrario. Al igual que la peonza imantada en presencia de un campo magnético impuesto, estas partículas con momento magnético adquieren una cierta energía. Así, si el momento magnético señala en el mismo sentido que el campo magnético impuesto, la partícula posee una energía menor, y si señala en sentido contrario una energía mayor. Estas dos posibles situaciones se denominan estados, y el estado de menor energía se denomina estado fundamental, mientras que el de mayor energía se denomina estado excitado.
En presencia de un campo magnético impuesto, la mayoría de las partículas tiende a alinear su momento magnético en el mismo sentido que este campo magnético porque de esa manera se encuentran en un estado de más baja energía. Esta tendencia natural hacia el estado de más baja energía se da en todo sistema físico. Las partículas que se encuentran en este estado fundamental pueden pasar a un estado excitado absorbiendo ondas electromagnéticas que transporten una cantidad de energía exactamente igual a la diferencia de energía que hay entre los dos estados, o viceversa, pueden pasar del estado excitado al estado fundamental emitiendo esa misma cantidad de energía también en forma de ondas electromagnéticas.
Esta diferencia de energía entre los dos estados es proporcional al valor del campo magnético impuesto. Dado que la frecuencia de Larmor también es proporcional al campo magnético, esta diferencia de energía se acaba expresando en función de la frecuencia de Larmor. La energía que transporta una onda electromagnética es proporcional a la frecuencia de oscilación de sus campos eléctricos y magnéticos, que se mide en hercios. Así por ejemplo, las ondas electromagnéticas que denominamos de radiofrecuencia y que seleccionamos o sintonizamos en un aparato de radio para oír una emisora u otra, tienen valores de frecuencia comprendidos entre 88 y 108 megahercios para las emisoras que denominamos de frecuencia modulada o FM. En las técnicas de espectroscopía o de imagen médica por RMN, los núcleos atómicos se hallan inmersos en un campo magnético impuesto que suele ser del orden del Tesla.
En el caso de los núcleos de hidrógeno, esto es, protones individuales, en presencia de un campo magnético de 1,5 Teslas la frecuencia de Larmor es de 64 megahercios (este valor de 1,5 Teslas es el valor del campo magnético existente en muchos escáneres clínicos de imagen médica por RMN y es 30 000 veces mayor que el campo magnético terrestre, cuyo valor promedio es de 50 microteslas). Al iluminar estos núcleos con ondas de radiofrecuencia de 64 megahercios, coincidente con el valor de la frecuencia de Larmor correspondiente al valor del campo magnético impuesto, los núcleos en el estado fundamental absorberán la energía de estas ondas para pasar al estado excitado. Al cesar la excitación con ondas de radiofrecuencia, los núcleos excitados volverán de forma espontánea al estado fundamental emitiendo ondas electromagnéticas también con la frecuencia de Larmor. La detección de estas ondas de radiofrecuencia devueltas por los núcleos atómicos y el procesado de las señales eléctricas a que dan lugar constituye el fundamento técnico de la espectroscopía y de la imagen médica por RMN.
Tecnología de un escáner de imagen médica por RMN
La RMN es una de las principales técnicas de obtención de imagen médica junto con la ecografía por ultrasonidos, la tomografía axial computarizada, o TAC, y la tomografía por emisión de positrones, o PET, por sus siglas en inglés (Positron Emission Tomography). De entre todas estas técnicas, la RMN y la TAC son las que ofrecen mejor resolución de imagen (hasta un milímetro), aunque en la imagen de TAC se realzan los tejidos duros, como el hueso, mientras que en la RMN el contraste se produce para los tejidos blandos. La principal diferencia entre ambas técnicas es que en la TAC se hace uso de radiaciones ionizantes (rayos X) y, en cambio, en la RMN se emplea radiofrecuencia, que es una radiación no ionizante, lo que hace que la RMN carezca de los riesgos asociados a exposiciones prolongadas que sí presenta la TAC. No obstante, la RMN presenta ciertos inconvenientes frete a la TAC. Los principales son el intenso ruido que genera el sistema, que puede resultar incómodo para el paciente, y un intervalo de tiempo mayor para la exploración y la adquisición de las imágenes, de decenas de minutos o incluso una hora en el caso de la RMN frente a solo algunos minutos en el caso de la TAC. Además de esto, la exploración por RMN puede producir claustrofobia en algunos pacientes debido a que el cilindro hueco en el que deben introducirse suele ser de mayor longitud que el del escáner de TAC. Algunos escáneres de RMN tratan de resolver este último inconveniente mediante el uso de una estructura abierta en forma de U que reemplaza al tubo, pero la calidad de la imagen en este tipo de escáneres es inferior.
La imagen médica por RMN se basa en el fenómeno de la RMN para el núcleo más abundante en el organismo humano, el núcleo de hidrógeno, ya que casi el 70 % de la masa de un cuerpo humano es agua y hay dos núcleos de hidrógeno en cada molécula de agua. La imagen médica por RMN es una técnica altamente sofisticada que combina el uso de sistemas de emisión de ondas de radiofrecuencia de gran potencia (del orden del kW) y de detección de señales de radiofrecuencia extremadamente débiles (las producidas por los núcleos de hidrógeno de los tejidos del paciente), con el uso de campos magnéticos estáticos muy intensos, desde 0,2 hasta 7 Teslas en aplicaciones clínicas, e incluso 9,4 Teslas en investigación en humanos y hasta 17,6 Teslas en el caso de animales. En el caso de aplicaciones clínicas en humanos los sistemas de 1,5 y 3 Teslas son los más extendidos (un campo magnético de 3 Teslas es en comparación 60 000 veces más intenso que el campo magnético terrestre promedio).
Estos campos magnéticos tan intensos son necesarios para vencer la agitación térmica existente a temperatura ambiente en los átomos y moléculas que constituyen los tejidos del paciente y de esta manera forzar a una gran cantidad de momentos magnéticos de núcleos de hidrógeno a alinearse en el sentido del campo magnético. De esta manera, serán muchos los núcleos de hidrógeno en el estado fundamental que podrán ser excitados mediante ondas de radiofrecuencia para desexcitarse luego volviendo al estado fundamental, emitiendo así en conjunto señales de radiofrecuencia de intensidad apreciable. Para producir campos magnéticos superiores a 1 Tesla se hace uso de bobinas o solenoides fabricado con hilo superconductor de niobio-titanio (la superconductividad es otra propiedad puramente cuántica), que requieren ser mantenidos a una temperatura de 4 Kelvin en una cámara criogénica interna que contiene helio líquido, la cual a su vez se halla en el interior de otra cámara criogénica externa que contiene nitrógeno líquido a una temperatura de 77 Kelvin.
En los sistemas actuales, el helio líquido solo necesita ser repuesto cada dos o tres años. La elevada intensidad de estos campos magnéticos puede ocasionar accidentes si de forma descuidada objetos ferromagnéticos son introducidos en la sala en la que opera el escáner debido a que al ser atraídos por el imán pueden salir disparados hacia él. En los escáneres de RMN en los que el tubo se sustituye por una forma abierta en U para evitar la claustrofobia, el campo magnético se obtiene mediante imanes permanentes de tierras raras y es más débil que el producido por el solenoide superconductor. Por esto último, en estos escáneres abiertos la razón señal-ruido de la imagen, y por tanto su calidad, es menor.

A estos campos magnéticos estáticos del orden del Tesla y extremadamente homogéneos (con una variación espacial de unas pocas decenas de partes por millón) se le superponen en el escáner campos magnéticos estáticos más débiles de decenas de militeslas, apuntando en la misma dirección y sentido. Estos campos magnéticos más débiles varían linealmente con la distancia y se generan con unas bobinas convencionales, no superconductoras, que se denominan bobinas de gradiente. Las bobinas de gradiente son las responsables del ruido elevado que puede incomodar al paciente durante la exploración y se debe a las vibraciones ocasionadas por las fuerzas magnéticas que actúan sobre las corrientes en dichas bobinas. La superposición del campo magnético intenso y homogéneo del solenoide superconductor con los campos magnéticos más débiles producidos por las bobinas de gradiente y que varían linealmente, da lugar a un campo magnético estático total muy intenso que varía ligeramente de forma lineal con la distancia en las tres direcciones del espacio, X, Y, Z, aunque sigue apuntando en una única dirección, esto es, a lo largo del eje de la camilla del escáner o eje longitudinal Z, dirigido de los pies a la cabeza del paciente. Dado que la frecuencia de Larmor con que precesionan los momentos magnéticos es proporcional al valor del campo magnético, el resultado es que los momentos magnéticos de los núcleos de hidrógeno en los tejidos pueden precesionar con una frecuencia distinta dependiendo de la posición espacial que ocupan.
En la práctica se emplea el gradiente que impone una variación lineal de campo magnético a lo largo de la dirección Z para imponer en todos los puntos de un corte anatómico de interés, perpendicular al eje Z, una misma frecuencia de Larmor, coincidente además con la frecuencia de las ondas de radiofrecuencia que excitarán los momentos magnéticos. De esta manera, solo los momentos magnéticos de este corte seleccionado absorberán la energía de radiofrecuencia de excitación y pasarán del estado fundamental al estado excitado.
Un segundo gradiente que impone una variación espacial en la frecuencia de Larmor en la dirección X se hace actuar durante un corto intervalo de tiempo y luego se desconecta. Al hacer precesionar los momentos magnéticos a diferente ritmo durante un tiempo para luego volver a hacerlos precesionar al mismo ritmo se logra que dentro del corte anatómico seleccionado los momentos no precesionen finalmente al unísono sino que unos hayan adelantado en el giro a otros. Se dice entonces que los momentos magnéticos se han desfasado entre sí, con un desfase que varía linealmente a lo largo de la dirección X en el corte seleccionado. Se denomina gradiente de fase a este segundo gradiente.
Finalmente un tercer gradiente, denominado de frecuencia, impone una ligera variación espacial en la frecuencia de Larmor en la dirección Y. Una vez cesa la excitación de radiofrecuencia, los momentos magnéticos de los núcleos de hidrógeno en el corte seleccionado vuelven de manera espontánea del estado excitado al estado fundamental emitiendo señales de radiofrecuencia que transportan a través de su frecuencia y de su fase información sobre la posición espacial de los núcleos, esto es, la posición espacial de los núcleos en el corte definida por una pareja de valores X e Y queda codificada por una pareja de valores de fase y frecuencia. Estas señales son detectadas y procesadas finalmente para construir una imagen clínica del corte en escala de grises en la que la resolución espacial es del orden del milímetro, a pesar de que la longitud de onda de la radiación de radiofrecuencia empleada es típicamente de varios metros (por ejemplo, 4,7 m en un escáner de 1,5 T que opera a 64 MHz). Este método basado en gradientes constituyó la idea genial que le valió el premio Nobel de Fisiología a Paul C. Lauterbur en 2003, al idear un método de obtención de imágenes que al no hacer uso de procedimientos ópticos no está limitado por el criterio de Rayleigh de la Optica clásica que establece que la resolución mínima de una imagen no puede ser inferior a la longitud de onda de la radiación empleada para obtenerla.
Antenas de radiofrecuencia
Junto con el imán superconductor y el sistema de bobinas de gradientes, el otro sistema esencial en un escáner de RMN es el formado por las denominadas bobinas o antenas de radiofrecuencia, que se emplean para producir la excitación por radiofrecuencia y para la detección de la radiofrecuencia reemitida por los núcleos de hidrógeno. Las bobinas o antenas de RMN consisten básicamente en espiras conductoras de cobre. En el ámbito de la RMN se hace uso indistinto en castellano de los términos bobina y antena para referirse al mismo elemento mientras que en inglés el término empleado es coil, cuya traducción literal es precisamente «espira».
Cabe aclarar que aunque bobina y antena son los términos comúnmente usados en RMN por facultativos e ingenieros, desde el punto de vista formal de la Física tales elementos no puede ser considerados como bobinas, ya que no se corresponden con espiras conductoras de muchas vueltas, sino de una sola vuelta, y tampoco se comportan de manera eficiente como antenas, ya que sus dimensiones son muy inferiores a la longitud de onda a la que operan, por lo que es más riguroso definirlas como sensores magnéticos de radiofrecuencia de campo próximo que como antenas. Aclarado esto, seguiremos no obstante empleando la terminología al uso. Así, casi todos los escáneres de RMN disponen de una bobina de radiofrecuencia de grandes dimensiones en la que cabe el paciente en su interior y que se denomina body coil o birdcage, por su forma de jaula de pájaro. Se puede emplear tanto para trasmitir las ondas de radiofrecuencia con las que excitar los momentos magnéticos de los núcleos de hidrógeno como para recibir la radiofrecuencia reemitida por los mismos. Esta bobina se halla localizada en el interior del tubo que contiene también el solenoide superconductor y las bobinas de gradiente.
Los escáneres de RMN cuentan además con varias bobinas más pequeñas que se denominan bobinas de superficie porque se disponen muy próximas sobre el paciente en la región anatómica de interés y se emplean solo para recibir, operando en combinación con la body coil que se emplea entonces solo para transmitir. Estas bobinas permiten obtener imágenes con mucha mayor calidad (mejor razón señal-ruido) y resolución que haciendo uso de la body coil tanto para transmitir como para recibir, aunque en una región mucho más localizada.
En las bobinas operando en recepción, los campos magnéticos de radiofrecuencia producidos por los momentos magnéticos de los núcleos de hidrógeno inducen pequeñísimos voltajes en ellas en virtud de la Ley de Faraday, y estos voltajes son convenientemente amplificados y procesados para construir la imagen. Durante el proceso de excitación, la body coil transmite una gran cantidad de energía de radiofrecuencia que podría inducir corrientes muy elevadas en las bobinas de recepción y calentarlas por efecto Joule, hasta el punto de poder ocasionar quemaduras al paciente al estar dispuestas muy cerca del mismo. Este calentamiento por efecto Joule es también la razón por la que no se pueden efectuar exploraciones en pacientes con implantes metálicos. Junto a esto, las corrientes inducidas en las bobinas de recepción pueden generar campos magnéticos de radiofrecuencia que perturben al de excitación. Para evitar tanto esto como el calentamiento por efecto Joule, las bobinas de recepción han de encontrarse en circuito abierto durante el proceso de excitación, lo cual se consigue mediante circuitos de protección basados en diodos dispuestos en las bobinas de recepción que actúan como interruptores que abren el circuito. Existen finalmente bobinas de pequeño volumen empleadas tanto para transmitir como para recibir, que también son de tipo birdcage, y que se emplean envolviendo la región de interés para obtener por ejemplo imágenes de cráneo o de rodilla.

El origen del contraste en la imagen de RMN
En la imagen de TAC el contraste se debe a la mayor o menor absorción de los rayos X por parte de los distintos tejidos. En la imagen de RMN el contraste tiene su origen en la diferente evolución en el tiempo de los momentos magnéticos en cada tejido desde el estado excitado al estado fundamental. En RMN el corte anatómico seleccionado mediante las bobinas que producen el gradiente de corte tiene un espesor típico de 1 a 3 mm, y los gradientes de fase y de frecuencia se encargan de subdividirlo en un conjunto matricial de pequeños elementos de volumen con esas mismas dimensiones que se denominan vóxels.
Así, cada corte se asemeja a uno de esos rompecabezas o puzles infantiles construidos a base de cubos apilados. A cada uno de estos cubos o vóxels se le hace corresponder un píxel en la imagen en escala de grises asociada al corte. Cada uno de estos vóxels queda caracterizado por una imanación que es la suma de los momentos magnéticos de todos los núcleos de hidrógeno que contiene. El número de núcleos dentro de un vóxel es tan elevado que la imanación resultante asociada al colectivo se puede analizar estadísticamente desde la Física clásica sin tener que recurrir a la Mecánica Cuántica. Así, la imanación resultante de la suma de momentos magnéticos se puede describir mediante el modelo de una peonza que precesiona alrededor del campo magnético del imán superconductor a la manera clásica, esto es, pudiendo formar el eje de la peonza cualquier ángulo con el campo magnético y no solo algunos valores discretos. En el equilibrio, la imanación se encuentra alineada con el campo magnético y la aplicación de ondas de radiofrecuencia con el body coil la sacan del equilibrio.
Al salir del equilibrio la imanación puede precesionar alrededor del campo magnético estático creado por el solenoide superconductor, o B0 en la terminología de la RMN, pero también precesiona al mismo tiempo alrededor del campo magnético de radiofrecuencia de excitación producido por el body coil, o B1, que es perpendicular a B0. El resultado de ambas precesiones combinadas es que la imanación se comporta como una peonza cuyo eje de giro precesiona alrededor de B0 y al mismo tiempo cae girando alrededor de B1. Habitualmente el pulso de radiofrecuencia de excitación se aplica durante un intervalo de tiempo tal que hace que la imanación acabe formando un ángulo de 90º con B0. Podemos visualizar este movimiento como el de una peonza girando en el centro de un globo terráqueo, con el eje de la peonza precesionando y cayendo mientras el extremo superior de su eje describe sobre la superficie del globo una trayectoria helicoidal que parte del polo norte hasta alcanzar el ecuador. Una vez cesa la excitación, la imanación puede volver al equilibrio en un proceso que se denomina relajación y al hacerlo describe una trayectoria de nuevo helicoidal hasta volver a alinearse con B0.
La proyección de la imanación a lo largo de la dirección de B0 o componente longitudinal va creciendo a lo largo del tiempo de manera exponencial con un constante de tiempo característica que se denomina T1. Al mismo tiempo, durante la relajación, las componentes de la imanación perpendiculares o transversales a B0 van disminuyendo exponencialmente con una tasa de decaimiento temporal que se denomina T2. El distinto valor de las constantes T1 y T2 para cada tejido es el origen del contraste en la imagen. T1 mide el tiempo que tardan los momentos magnéticos en reemitir la energía de radiofrecuencia absorbida. Parte de esta energía es captada con mayor o menor velocidad por el entorno molecular, que se calienta aunque inapreciablemente. El diferente valor de T2 se debe a que cada núcleo de hidrógeno ve por así decirlo un campo magnético estático B0 ligeramente distinto, lo que hace que los momentos magnéticos de un vóxel no precesionen al unísono, sino desfasados. Esto se debe por un lado a las inhomogeneidades intrínsecas del campo B0 que son de origen técnico (es imposible producir un campo absolutamente uniforme), y por otro lado a un entorno químico distinto para cada núcleo en donde los campos magnéticos locales producidos por los momentos magnéticos de otros núcleos perturban también ligeramente el valor local del campo B0.
Podemos entender mejor como actúa este desfase si tratamos de ver el conjunto de momentos magnéticos en un vóxel como una gran cantidad de barritas imantadas, dispuestas todas una sobre otra, y girando todas alineadas alrededor de un eje que pasa por su centro. El campo magnético que producen en la dirección en que están alineadas puede ser intenso. Pero si en lugar de girar todas al unísono con la misma frecuencia angular giran unas más despacio y otras más deprisa, el conjunto de barritas magnéticas se acaba abriendo como un abanico, produciendo un campo magnético más débil que si estuvieran todas alineadas.
 
	
			 
	
	 
	
	 
	
	