"Aún no me he encontrado con una sola persona que diga: 'Tengo plástico en mi cerebro y estoy totalmente de acuerdo con ello'", dijo en un comunicado el toxicólogo Matthew Campen, PhD, profesor en la Facultad de Farmacia de la Universidad de Nuevo México. Sus declaraciones surgen a raíz de una reciente investigación que confirma la presencia de microplásticos en el cerebro humano, un hallazgo que podría estar relacionado con enfermedades neurodegenerativas.
El toxicólogo e investigador principal del estudio, publicado en febrero en Nature Medicine, suele citar la máxima de toxicología "La dosis hace el veneno". Si la producción de plástico se detuviera hoy, el problema persistiría por décadas. Los polímeros ya presentes en el ambiente seguirán descomponiéndose en partículas microscópicas, lo que provocará un aumento continuo de microplásticos.
Los microplásticos han llegado al cerebro humano y su concentración sigue en aumento
Los microplásticos, esas diminutas partículas derivadas de plásticos de uso cotidiano, no solo están en los océanos, el aire o los alimentos, sino también en nuestro propio cerebro. El estudio ha confirmado la bioacumulación de estos materiales en tejidos cerebrales humanos, revelando una concentración creciente con el paso de los años.
Los hallazgos también sugieren una posible relación entre la presencia de microplásticos y enfermedades como la demencia.
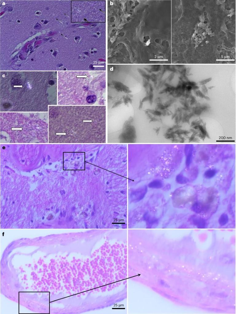
En esta investigación, los científicos emplearon pirólisis acoplada a espectrometría de masas para identificar y cuantificar microplásticos en el cerebro humano, detectando la presencia de 12 tipos de polímeros, con el polietileno como el más abundante.

Microplásticos: cómo entran y se acumulan en el cuerpo
Los microplásticos son fragmentos de plástico menores a 5 mm que se generan a partir de la degradación de productos como envases, textiles y utensilios de plástico. Estas partículas ingresan al cuerpo humano principalmente a través del agua potable, los alimentos y el aire que respiramos.
El estudio analizó muestras de tejido de hígado, riñón y cerebro obtenidas en autopsias entre 2016 y 2024. Se aplicaron técnicas avanzadas como la espectrometría de masas acoplada a cromatografía de gases (Py-GC/MS) y microscopía electrónica para identificar y cuantificar la presencia de microplásticos en estos órganos.
Los resultados mostraron que el cerebro presentaba una concentración significativamente mayor de microplásticos en comparación con el hígado y los riñones.

Un aumento preocupante en la acumulación de microplásticos
Los investigadores encontraron que la concentración de microplásticos en los cerebros humanos aumentó en un 50% entre 2016 y 2024. Las muestras más recientes contenían niveles alarmantes de polietileno (PE), un tipo de plástico ampliamente utilizado en envases y bolsas. Se identificaron también fragmentos de polipropileno (PP), policloruro de vinilo (PVC) y caucho de estireno-butadieno (SBR), todos ellos plásticos comunes en productos de uso diario.
Las partículas encontradas en el cerebro tenían formas inusuales, similares a fragmentos afilados de aproximadamente 200 nanómetros, un tamaño lo suficientemente pequeño como para atravesar la barrera hematoencefálica, que protege al cerebro de sustancias potencialmente peligrosas.
Un problema que seguirá creciendo
Aunque se detuviera la producción de plásticos hoy mismo, las partículas ya existentes continuarían fragmentándose y acumulándose en el ambiente y en nuestros cuerpos durante décadas. El estudio sugiere que el consumo de carne podría ser una de las principales vías de exposición, ya que el uso de plásticos en la agricultura y la ganadería contribuye a su acumulación en la cadena alimentaria.
"La forma en que irrigamos los campos con agua contaminada por plástico, postulamos que los plásticos se acumulan allí", dijo Campen. "Damos de comer a nuestro ganado con esos cultivos. El tomamos el estiércol y lo volvimos a poner en el campo, por lo que puede haber una especie de biomagnificación de alimentación".

Microplásticos y enfermedades neurodegenerativas: una posible conexión
Uno de los hallazgos más inquietantes fue la presencia de una concentración significativamente mayor de microplásticos en los cerebros de personas con diagnóstico de demencia en comparación con aquellos sin la enfermedad. Aunque el estudio no establece una relación causal directa, los investigadores sugieren que la acumulación de estas partículas podría contribuir a la inflamación crónica y al daño neuronal.
Algunas hipótesis indican que los microplásticos podrían obstruir el flujo sanguíneo en los capilares cerebrales, interferir con la conexión entre las neuronas o actuar como catalizadores en la agregación de proteínas tóxicas asociadas con enfermedades neurodegenerativas como el Alzheimer.
El desafío de la investigación y la salud pública
A pesar de la solidez de los hallazgos, los investigadores destacan que el estudio tiene limitaciones. No se pudo determinar si los microplásticos causan demencia o si las condiciones neurodegenerativas facilitan su acumulación. Además, los métodos actuales podrían estar subestimando la cantidad real de microplásticos en el cerebro, ya que algunas partículas podrían ser demasiado pequeñas para detectarse con las técnicas disponibles.
"Comenzamos a pensar que tal vez estos plásticos obstruyen el flujo sanguíneo en los capilares", dijo Campen. "Existe el potencial de que estos nanomateriales interfieran con las conexiones entre los axones en el cerebro. También podrían ser una semilla para la agregación de proteínas involucradas en la demencia. Simplemente no lo sabemos".
El próximo paso en la investigación será determinar los efectos precisos de los microplásticos en el cerebro humano, cómo ingresan, cómo se eliminan y qué impacto tienen en la salud a largo plazo. También se deben explorar estrategias para reducir la exposición y mitigar posibles daños.

Los microplásticos no solo contaminan el planeta
El hallazgo de microplásticos en el cerebro humano marca un punto de inflexión en nuestra comprensión de la contaminación por plásticos y su impacto en la salud. Si bien aún no se han determinado los efectos específicos en la función cerebral, el rápido aumento de estas partículas en los tejidos humanos es motivo de preocupación, de acuerdo a los investigadores.
Referencias
- Nihart, A.J., Garcia, M.A., El Hayek, E. et al. Bioaccumulation of microplastics in decedent human brains. Nature Medicine (2025). doi: 10.1038/s41591-024-03453-1
- Michael Haederle. UNM Researchers Find Alarmingly High Levels of Microplastics in Human Brains – and Concentrations are Growing Over Time. The University of New Mexico Health Sciences Newsroom, February 2025, URL: hsc.unm.edu/news/2025/02/hsc-newsroom-post-microplastics-human-brains.html